PANGUSA NI UGONJWA GANI?
Chlamydia(Pangusa) ni aina ya ugonjwa wa zinaa unaosababishwa na bakteria aina ya Chlamydia trachomatis ambao wanaweza kuathiri viungo vya uzazi na pia husababisha aina ya homa ya mapafu ijulikanayo kama atypical pneumonia.
Miongoni mwa magonjwa ya zinaa yasababishwayo na bakteria, Chlamydia unaoongoza kwa maambukizi duniani ambapo kwa nchi ya Marekani pekee inakisiwa watu milioni 4 huambukizwa kila mwaka. Kutokana na ukosefu wa takwimu za nchi nyingi barani Afrika ikiwemo Tanzania, ni vigumu kujua idadi kamili ya maambukizi, ingawa bila shaka ndio ugonjwa wa zinaa utokanao na bakteria unaoongoza kwa maambukizi ukifuatiwa na ugonjwa wa gonorrhea.
Clamydia huambukizwaje?
Chlamydia huambukizwa kupitia njia zifuatazo
- Kujamiana kwa njia ya mdomo, njia ya haja kubwa na kupitia tupu ya mwanamke
- Kuambukizwa kutoka kwa mama kwenda kwa mtoto wakati wa ujauzito
- Au kupitia manyoya au vinyesi vya wanyama kama ndege walioambukizwa aina ya Chlamydia inayopatikana kwa ndege kama vile kuku, bata, kasuku nk. Aina hii ya clamydia husababisha aina ya homa ya mapafu ijulikanayo kama psittacosis ambayo huambatana na homa kali yenye nyuzi joto kati ya 39.4 - 41.1 celsius
Chlamydia huathiri sehemu tofauti za mwili wa binadamu kama vile macho, mfumo mzima wa kupumua, sehemu za siri, viungo vya uzazi na tezi (lymph nodes). Chlamydia na gonorrhea huwa na tabia ya kuambatana kwa pamoja (rejea makala ya magonjwa ya zinaa sehemu ya kwanza).
Dalili na viashiria vya ugonjwa wa Chlamydia
Asilimia 75 ya wanawake na asilimia 50 ya wanaume wanaopata maambukizi ya ugonjwa huu huwa hawaoneshi dalili zozote za ugonjwa wa Chlamydia. Dalili hutokea wiki 1 hadi 3 baada ya mtu kupata maambukizi.
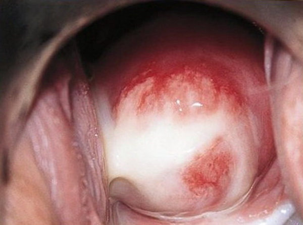
Dalili kwa wanawake zinaweza kuwa
- Kutokwa na majimaji ya rangi ya njano yenye harufu kali na mbaya sehemu za siri

- Maumivu wakati wa kukojoa (haja ndogo)
- Kuhisi kama kuwaka moto wakati wa kukojoa
- Kutokwa na damu katikati ya kipindi cha hedhi yaani baada ya kumaliza mzunguko wa hedhi na kabla ya kuanza mzunguko mwengine wa hedhi
- Maumivu sehemu ya chini ya tumbo
- Maumivu wakati wa kujamiana
- Kutokwa na damu wakati wa kujamiana
- Kuvimba na maumivu kwenye tezi zilizopo sehemu za siri
Dalili kwa wanaume zinaweza kuwa
- Maumivu wakati wa kukojoa
- Kuhisi kama kuwaka moto wakati wa kukojoa
- Kutokwa na majimaji kwenye uume yanayoweza kuwa ya rangi nyeupe kama maziwa, kijivu au ya njano
- Sehemu ya tundu la uume huwa jekundu, huvimba na kuwasha
- Maumivu kwenye korodani
- Tezi zilizopo sehemu za siri huvimba na huambatana na maumivu
Mara nyingi dalili hizi kwa wanaume zinakuja na kupotea au zinaweza kuonekana tu wakati anaenda kukojoa asubuhi baada ya kuamka kutoka usingizini
Dalili za ugonjwa huu kama umeathiri puru (rectum) ni kama ifuatavyo (kwa wanawake na wanaume)
- Kuwashwa na kutokwa na damu kwenye puru
- Maumivu wakati wa kujisaidia haja kubwa
- Kutokwa na uchafu kama kamasi kwenye puru
Dalili za chlaymdia iliyoathiri macho (kwa wanawake na wanaume)
- Kuvimba sehemu za macho
- Macho kuwa mekundu, kuwasha na hata kutokwa na majimaji
Chlamydia inayoambukiza kwenye macho (Chlamydia conjunctivitis or trachoma) ndio inayoongoza kwa kusababisha upofu duniani.
Vipimo vya uchunguzi
- Urethral swab for culture – Majimaji kutoka kwenye uume au uke huchukuliwa kwa kutumia swab maalum ambapo hupelekwa maabara ili kuotesha na kuangalia aina ya uoto wa bakteria
- Urinalysis (urine test) – Vipimo vya mkojo
- Polymerase Chain Reaction (PCR) – Kipimo cha kuangalia vinasaba vya bakteria na hufanyika maabara.
Tiba ya ugonjwa wa Chlamydia
Chlamydia ni kati ya magonjwa ya zinaa yanayotibika. Ugonjwa huu hutibiwa kwa dawa aina ya antibiotics zilizopo kwenye makundi ya ;
- Macrolide antibiotics
- Quinolones antibiotics
- Polyketides antibiotics
Madhara ya ugonjwa huu
- Kwa wanaume, Chlamydia huathiri korodani na kusababisha mwanamume kukosa uwezo wa kutia mimba mwanamke (infertility) na maambukizi
- Maambukizi kwenye tezi dume (prostatitis)
- Kwa wanawake, husababisha maambukizi kwenye mirija ya uzazi, mfuko wa uzazi, na mayai ya uzazi hivyo kusababisha ugonjwa aina ya Pelvic inflammatory disease (PID). Pia huongeza asilimia ya mwanamke kupata mimba zinazotunga nje ya mfuko wa uzazi (Ectopic pregnancy). Mbali na hilo, mwanamke hupata maumivu sugu ya kwenye nyonga, ugonjwa wa mifupa arthritis aina ya Reiters syndrome. Vilevile, Chlamydia huweza kusababisha ugumba kwa mwanamke kama hatapata tiba.
- Kwa wajawazito, Chlamydia husababisha wanawake kujifungua kabla wakati. Mtoto anaweza kuzaliwa na maambukizi kwenye masikio, sehemu za siri, macho na kwenye mapafu (homa ya mapafu). Kama mtoto hatapata tiba ya haraka ya macho basi anaweza kuwa kipofu.
Dalili za Chlamydia kwa watoto wachanga hutokea ndani wiki mbili kwenye macho na homa ya mapafu (pneumonia) ndani ya wiki 2 hadi miezi 3 baada ya kuzaliwa.
Jinsi ya kujikinga na ugonjwa wa Chlamydia
- Kama ilivyo kwa Magonjwa mengine yanayo ambukizwa kwa Ngono isio salama, Njia sahihi ya kujikinga na magonjwa ya zinaa ni kuacha au kuepuka kufanya ngono au kujamiana Kusiko salama.
- Kwa wanawake wajawazito, ni vizuri kuhudhuria kliniki mapema wakati wa ujauzito
- Wale wenye maambukizi wanashauriwa kuchukua tahadhari ya kutowaambukiza wapenzi wao kwa kufanya ngono salama (kutumia mipira), kuepuka kushika macho kwa kutumia mikono na hata ikiwezekana kuwaepuka wapenzi wao ili kuwalinda na maambukizi.
- Kwa wale ambao wapenzi wao wameambukizwa au wameonyesha dalili za ugonjwa huu, wanashauriwa na wao kupata tiba hata kama hawana dalili zozote.